Elevate Your Self-Esteem with Personalized Cosmetic Dentistry
Issues Cosmetic Dentistry Can Correct
- Tooth stains or discoloration
- Irregularly shaped or uneven teeth
- Cracked, chipped, or broken teeth
- Crooked or gapped teeth
- Asymmetrical smile
- Gummy smile
Our Top-Rated Cosmetic Dentistry Treatments
Consult & Planning
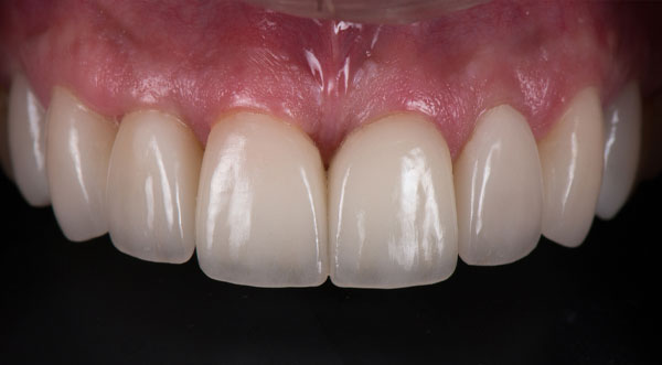
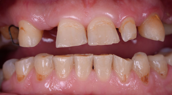
Porcelain veneers are thin shells made from high-quality dental porcelain that are custom-designed to fit over the front surface of teeth. They offer a versatile solution for enhancing the appearance of teeth by masking imperfections such as chips, cracks, stains, and gaps. Porcelain veneers are known for their durability and resistance to staining, providing long-lasting results that maintain their natural-looking appearance.
The veneers are meticulously crafted to match the surrounding teeth' color, shape, and size, ensuring a seamless and harmonious smile. With proper care and maintenance, porcelain veneers can significantly improve a smile's overall aesthetics, boosting confidence and self-esteem.
Teeth Whitening
Various factors, including age, genetics, tobacco, coffee, tea, and red wine consumption, can lead to tooth stains. Combatting this common cosmetic dentistry issue, our professional teeth whitening presents an ideal solution for restoring the natural brightness of your smile.
In Salina, KS, our in-office teeth whitening delivers multi-shade improvements in a single session, while personalized at-home whitening trays are also available for your convenience.
Composite Bonding
Bonding is a cost-effective cosmetic dentistry procedure for repairing tooth decay, chipped or cracked teeth, and worn-down edges. During this procedure, we first drill out the tooth decay or imperfections, then roughen the surface to ensure a good bond. The tooth-colored composite material is then applied to the tooth surface, "sculpted" into the right shape, and cured with a high-intensity light.
Same-Day Crowns
Same-day crowns offer a convenient solution for restoring damaged teeth without needing multiple appointments. Utilizing advanced milling technology, these crowns are designed and fabricated in-house, allowing you to receive your permanent restoration in just one visit.
The process begins with a digital impression of your tooth, ensuring a precise fit and natural appearance. With same-day crowns, you can leave the office with a durable, custom-made restoration that enhances your smile's function and aesthetics.
Orthodontics
Clear aligners is a popular orthodontic treatment that uses clear, removable aligners to gradually straighten teeth. It offers a discreet and comfortable alternative to traditional braces. These aligners are virtually invisible, making them an appealing choice for adults and teens who want to improve their smile without the noticeable appearance of metal braces.
On the other hand, traditional braces consist of metal brackets and wires fixed to the teeth, providing a reliable method for correcting complex dental issues. Both treatment options effectively align teeth and improve bite function, but choosing between them often depends on individual preferences and specific orthodontic needs.
Dental Implant Surgery
Dental implants are durable and natural-looking replacements for missing teeth that integrate seamlessly with the jawbone. Made of biocompatible materials such as titanium, implants provide a stable foundation for crowns, bridges, or dentures.
They offer long-term benefits by preventing bone loss and maintaining the integrity of the surrounding teeth. Dental implants can restore functionality and aesthetics with proper care, allowing patients to enjoy a confident smile and improved oral health for years.
- Dental Implants
- Porcelain Veneers
- Teeth Whitening
Complete this short smile Evaluation and receive the following:
If you're a good candidate for veneers
A Digital Smile Design to show you what you will look like with your new veneers!
Pricing and options for treatment
And best of all... a time to speak directly with Dr. Jason Barth. Top Cosmetic Dentists in Salina, KS!
